Aquest article tracta de la mirada de les coses molt grans que no veiem i les de reduïdes dimensions que tampoc veiem. En aquest joc de paraules els infinits es toquen des del gran Infinit de l’univers representat per la via làctica fins els micro infinit a on organismes que estan dins del nostre cos precisen d’una meticulosa tècnica per veure’ls. És a través de tècniques fotogràfiques que podem arribar a fer visible aquells punt i objectes que a simple vista no podem apreciar.
LA VIA LÀCTIA – El gran INFINIT
La Via Làctia és la galàxia que conté el sistema solar, que no es pot veure a ull nu. Es tracta d’una galàxia espiral barrada amb unes dimensions que podríem dir-ne inabastables, com 1.000 anys llum als braços d’espiral i amb diàmetre estimat en 88.000 anys llum. Està formada per entre 200.0000 i 400.000 milions d’estrelles amb un gran forat negre al centre de la galàxia, encara que està envoltat de milers d’estrelles i no es pot detectar si no és amb instruments electromagnètics.
L’aspecte lletós de la part central de la nostra galàxia observada a ull nu des de la Terra en va originar el nom de Via Làctia, és a dir ‘camí de llet’. En Xavier Bienzobas és un especialista en la fotografia de la Via Làctia tal com podem veure en la imatge que s’acompanya.

*************************************************
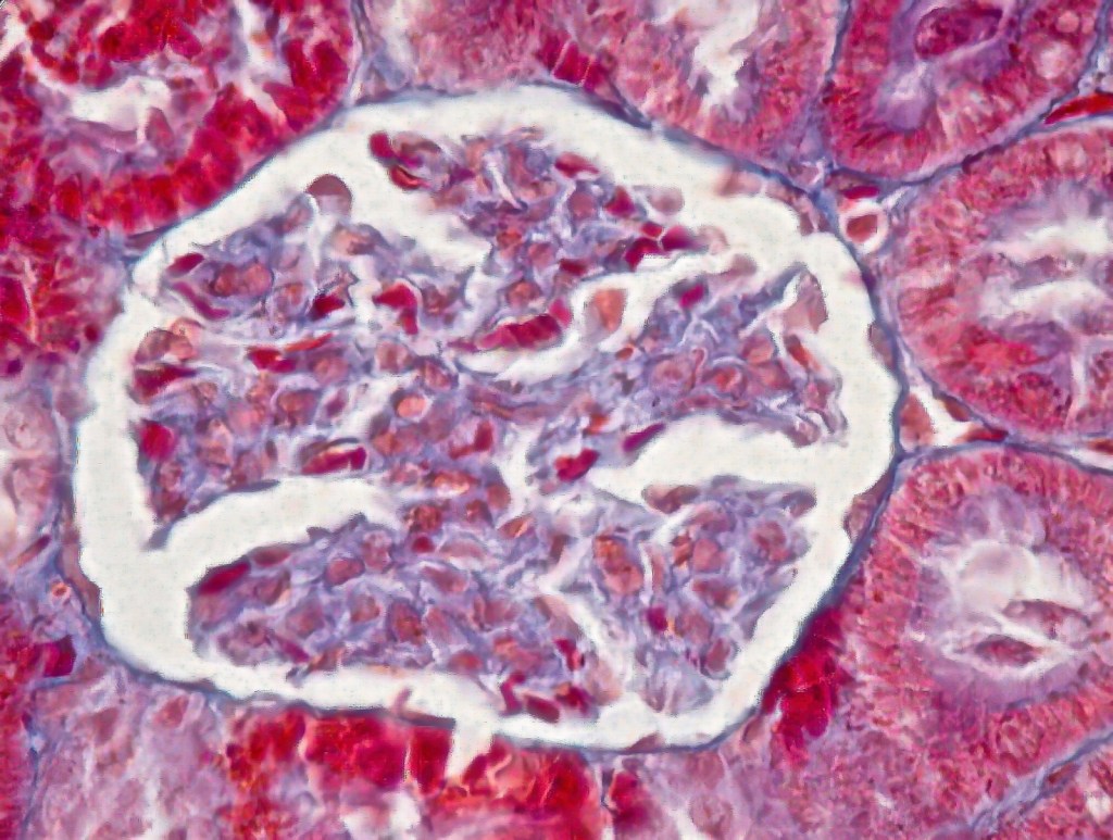
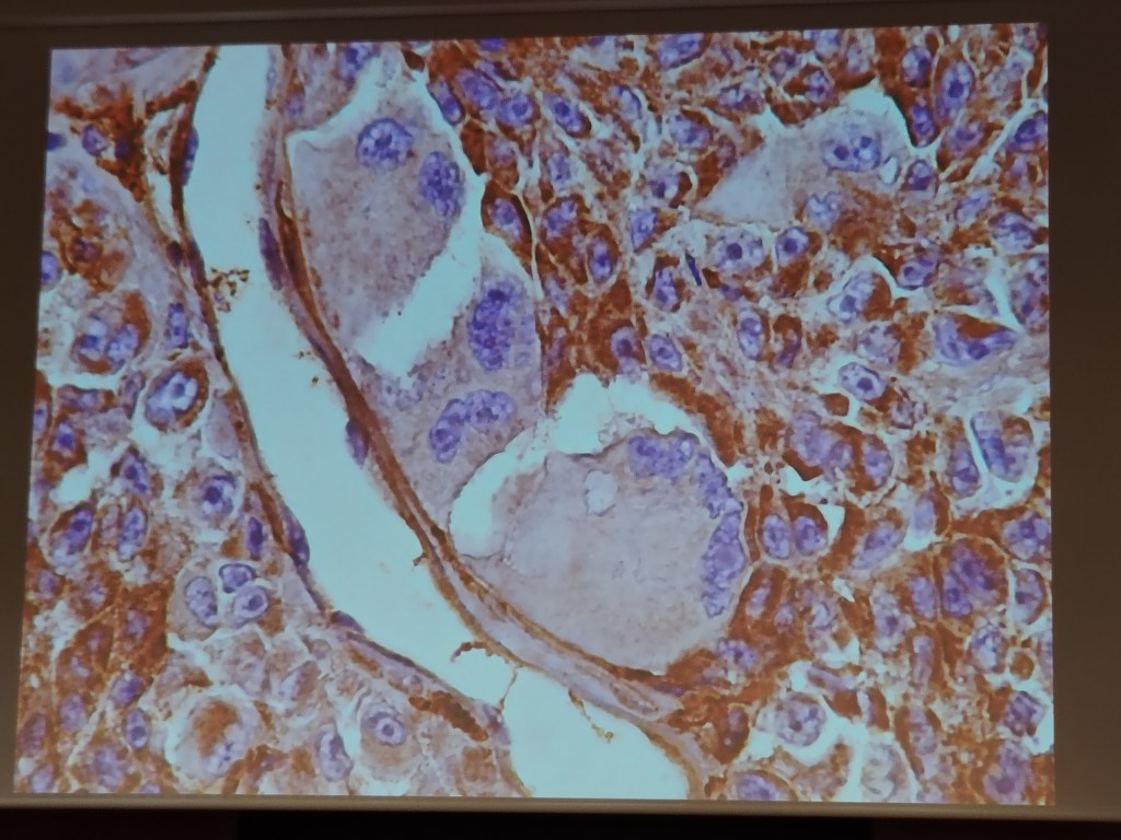
EL MICROSCOPI – El micro INFINIT
Així com el telescopi ens atansa la visió de la nostra galàxia, el microscopi ens permet l’entrada al micro infinit. Es tracta d’un infinit que es troba en tots el organismes vius i el Dr. Miquel Borràs és un especialista des de fa més de 50 anys a la investigació en el camp de histologia i la histopatologia.
En les seves recerques ha buscat la manera d’establir els contrastos i colors que resultin atractius a l’estètica per fer més atractiu aquest món de cossos infinitament diminuts. Els seus estudis l’han portat a anar més enllà del simple microscopi arribant a relacions d’augment de 1:300, 1:400 ,i fins i tot, 1:1.200.
Segons explica, els “objectes” reproduïts són fràgils i es troben sovint amagats a l’interior d’òrgans i teixits. Donat la seva més que petita dimensió, cal un procés llarg i laboriós de preparació de la mostra només per accedir a allò que es vol fotografiar.





Amb aquests exemples podem entendre la diferència de magnituds dels infinits i com tot forma part del nostre entorn. És gràcies a persones com ells que podem veure i entendre les imatges que ens aporten, i com ens donen el plaer de gaudir en veure les estrelles i els organismes que són dins del nostre cos.
==========================================
Albert LOASO